Snap on veneers

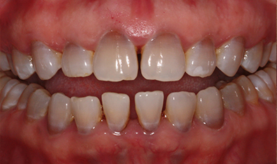
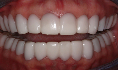
Snap-on veneers janë mbulesa të lëvizshme për dhëmbët që vendosen sipër dhëmbëve natyralë për ta përmirësuar pamjen e buzëqeshjes. Nuk kërkojnë gërryerje të dhëmbëve, apo anestezion.

Çfarë janë Snap-On Veneers?

Mbulesa estetike të lëvizshme që vendosen sipër dhëmbëve

Realizohen sipas formës së dhëmbëve të pacientit

Mund të hiqen dhe vihen kur të dëshirohet

Zakonisht realizohen brenda 24-48 orëve

Për çfarë përdoren?

-Për tu dukur dhëmbët e bardhë.

-Për të mbuluar dhëmbë të thyer, me njolla ose të parregullt.

-Si zgjidhje për buzëqeshje të bukur pa procedura invazive.

-Para se pacienti të vendosë për faseta të përhershme.

Kur përdoren
Snap on Veneers?

Persona me dhëmbë të njollosur apo të verdhë që nuk zbardhen me trajtime të zakonshme.

Ata që kanë hapësira midis dhëmbëve (diastema) dhe duan t’i mbulojnë pa ortodonci.

Persona me dhëmbë të vegjël, të çrregullt ose të konsumuar që kërkojnë një zgjidhje estetike të shpejtë.

Pacientë që kanë frikë nga shpimi ose ndërhyrjet dhe duan një opsion pa dhimbje.

Para ngjarjeve të rëndësishme (dasma, foto, evente) për një buzëqeshje të bukur në kohë të shkurtër.

Ata që duan të provojnë pamjen e fasetave përpara se të vendosin për faseta të përhershme.

Kufizimet :

  • Nuk përdoren për të ngrënë ushqime të forta – mund të thyhen.

  • Vetëm mbulojnë problemet, nuk i trajtojnë ato.

  • Nuk përshtaten mirë në raste me dhëmbë shumë të parregullt ose mungesë dhëmbësh.

  • Zgjidhje e përkohshme, jo afatgjatë.

  • Kërkojnë kujdes dhe higjienë të rregullt.

Mirëmbajtja :

  • Pastrohen çdo ditë me ujë të vakët dhe furçë të butë.

  • Mos i lani me pastë dhëmbësh, sepse mund t’i gërryejë.

  • Përdorni solucion të posaçëm ose sapun të butë pa aromë.

  • Hiqini gjatë ngrënies, sidomos ushqimeve të forta ose ngjitëse.

  • Mos flini me to, për të shmangur dëmtime dhe grumbullim bakteresh.

  • Ruajini në kuti të pastër dhe të thatë kur nuk i përdorni.

Cakto Termin

1.Plotësoni fushat e kërkuara.

2.Prisni që klinika të konfirmojë orarin dhe datën e rezervuar.

3.Sigurohuni të jeni në klinikë sipas terminit të caktuar.

4.Nëse dëshironi të anuloni terminin tuaj, ju lutemi na njoftoni 24h më herët në 045 295 226.

    https://nildentals.com/wp-content/uploads/2023/05/nil-final-Copy.png

    Besojuni profesionistëve. Ne kujdesemi që pacientët të marrin trajtimin më të mirë.

    Na Gjeni Këtu
    Rrjete sociale

    Na vizitoni NIL Dental Studio edhe në rrjetet sociale. Sigurohuni ta bëni follow për tu informuar rreth risive të reja.

    Copyright 2025 . All rights reserved NMN